Dr. Brinker has performed more than 1,000 Ilizarov surgeries

Dr. Brinker has treated more than 1,200 fracture nonunions

Dr. Brinker has corrected more than 400 skeletal deformities

Dr. Brinker has treated more than 250 cases with bone infection

Nonunion: Clavicle Case 2

 

Presenting

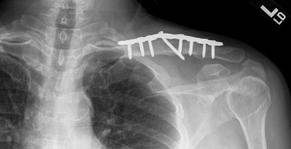
This 52 year old man broke his clavicle when he fell from a motorcycle. He was treated overseas with a plate and wiring, but was referred to my office 4 months after the surgery because he continued to have pain that was waking him up at night and limited motion of his shoulder. This x-ray shows that the original plate had loosened and the fracture site was no longer stable.


Result After Treatment by Dr. Brinker

This patient’s nonunion was treated by removing the existing plate and implanting a new plate with bone graft to stimulate healing. This x-ray taken 8 months later shows solid healing of the clavicle. The patient had no pain and full motion in his shoulder.

See more case studies for
Non Union Fractures

Learn more about
Non Union Fractures


Learn more about the
Clavicle

Texas Orthopedic Hospital

7401 South Main Street
Houston, TX 77030
713-799-2300

Maps & Directions

Choose Your Affected Bone/Joint
1. Clavicle
2. Shoulder
3. Humerous
4. Elbow
5. Forearm
6. Wrist
7. Hip
8. Femur
9. Knee
10. Tibia
11. Ankle